【FEEDデンタル】

カテゴリーから探す

プレリュードワン

3.50 (2件) レビューを見る

デンタルアドバイザー誌「エディターズチョイス賞」で最高の5+受賞! シングルステップ マルチユースタイプのボンディング材

アイコンの説明を見るクリックするとアイコンの説明が表示されます
プレリュードワン

プレリュードワン

医療機器
詳細情報:

●商品コード: 6867660
●入数: 1本
●内容量: 5ml
●販売名: プレリュードワン
●薬事表示番号: 医療機器認証番号227AFBZX00008000

ログイン後に価格が表示されます。

会員限定コンテンツのご利用は、
会員登録が必要です。
会員の方は、ログインしてご利用ください。

商品の情報

プレリュードワン
プレリュードワンは、被着面※のプライマー処理を不要とすることで、使いやすさを“さらに”向上させました。
材料ごとの処理方法や、術式を考慮する必要がなくなり、シンプルな術式でテクニカルエラーの低減につながります。

※プライマー処理が不要となる被着面は6種類(エナメル質、象牙質、ジルコニア・アルミナ、コンポジットレジン、貴金属、卑金属)が対象となります。
被着面の状況によっては、マイクロサンドブラスト、リン酸エッチング、メタルプライマーあるいはセラミックプライマーの使用をおすすめします。

操作上のポイント
プレリュードワンはエアブローにて容易に薄く均一なボンディング層を形成できます。従って、隔壁後にボンディング材を塗布しても窩洞に厚いボンディング層ができる心配がありません。

これ1本で6種類の被着面に対応!レジン修復やリペア症例がとてもシンプルな流れに!

  • 象牙質
  • エナメル質
  • ジルコニア・アルミナ
  • 貴金属
  • コンポジットレジン
  • 卑金属

臨床例歯質に高い接着力をもつプレリュードワン

  • 歯質に高い接着力をもつプレリュードワン_1

    咬合が影響し歯質がチッピングしたと考えられる前歯

  • 歯質に高い接着力をもつプレリュードワン_2

    接着面積を大きくするためにエナメル質にベベルを付与した。続いてエナメル質のみをエッチングした後に水洗、乾燥した

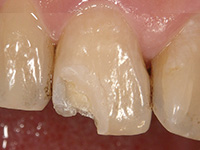
  • 歯質に高い接着力をもつプレリュードワン_3

    プレリュードワンを20秒間擦り塗りした。続いて5秒以上、弱~中圧でボンディング材が波打たなくなるまでエアブローした

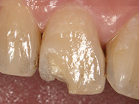
  • 歯質に高い接着力をもつプレリュードワン_4

    10秒間光照射した。本製品は流動性が高いため、容易に薄く均一に広がる

流動性の高さをこちらの動画でご確認いただけます

須崎  明 先生

【 profile 】
愛知学院大学歯学部
保存修復学講座非常勤講師
日本歯科保存学会会員
日本歯科審美学会会員(認定医)

使い方は術者次第! 多目的に対応したボンディング材

ぱんだ歯科

須崎 明 先生

海外で多くの歯科医師に用いられているシングルステップ マルチユースタイプ ボンディング材「プレリュードワン」。本製品はエナメル質や象牙質に高い接着力を示す。(接着強さ参照)またさまざまな歯科用材料(金属、ジルコニア、アルミナ、コンポジットレジン、ポーセレン、二ケイ酸リチウム)にも接着するため、シンプルなう治療はもちろん、各々適切な表面処理を行うことにより、補修修復、間接修復にも用いることが可能となる。さらに電子顕微鏡写真(ボンディング層SEM像参照)からもわかるようにボンディング層が5μmと薄く、デュアルキュア型のレジンセメントとも接着するため間接法にも応用が可能である。このようにシングルステップ マルチユースタイプ ボンディング材「プレリュードワン」は術者次第でさまざまな臨床へ応用できるため、在庫管理が容易で、ボンディング材の回転効率も高くなりコストパフォーマンスに優れたボンディング材となりうる。


■接着強さ(せん断接着強さ)

歯質以外の被着面も歯質と同等以上にバランスよく接着できます。

接着強さ

※二ケイ酸リチウム、ポーセレンには、セラミックプライマーをご使用ください。

(Danville Materials 提供)

■ボンディング層SEM像

5μm以下の薄いボンディング層。レジンタグが15μm程度存在し、象牙質への接着が有効であることがわかります。

ボンディング層SEM像

(Danville Materials 提供)

ほかの方が一緒に閲覧された商品

カスタマーレビュー
購入履歴よりレビューを投稿する

ログインするとコメントを確認することができます。

あなたへのおすすめ商品

閲覧履歴