【FEEDデンタル】

カテゴリーから探す

EdgeSequel Sapphire (エッジシークエル サファイア) .06テーパー

4.00 (2件) レビューを見る

.06テーパーのNi-Tiロータリーファイルです。

保険適用
アイコンの説明を見るクリックするとアイコンの説明が表示されます
  • この商品は現在購入できません。

商品の情報商品を選ぶ

EdgeSequel Sapphire (エッジシークエル サファイア) .06テーパー
  • 推奨回転数:500rpm
  • 推奨トルク:410g-cm
  • EMR通電改良済み品
EDGE ENDO社の"FireWireTM"Ni-Tiを使用し、高い柔軟性と破折疲労抵抗性を両立しています。
高い形状記憶性を有し、根管追従性に優れています。

●材質:ニッケルチタン合金 ●オートクレーブ:136℃
●破折抵抗値:633秒 ※500rpmで回転させたファイルの先端から3mmを、90度の屈曲したテストブロックに挿入した時の破折するまでの時間(EDGE ENDO社による自社試験の結果)。

※再使用禁止
※ファイルは熱処理を行っているため、刃部の表面色が異なる場合がありますが、品質に問題はございません。
※ラベルデザイン予告なく変更となる場合があります。







優れた柔軟性高い切削能力を併せ持つ正回転シングルテーパー

寺内 吉継 先生監修Ni-Tiロータリーファイル分類

用途 根管拡大形成用ファイル
テーパー シングルテーパー
刃部断面 凸三角形
刃部中心軸 中心
回転方向 正回転
製品特長解説

EdgeSequel Sapphire™は、三角形に近い断面形状による高い切削能力と、EdgeEndo®のFireWire™Ni-Tiの高い柔軟性を併せ持つNi-Tiロータリーファイルです。
.04、.06のスタンダードなテーパーをラインナップしており、導入がしやすいことも特長の一つです。

  • EDGE ENDO®を使用した臨床例
  • Edge GlidePath™、EdgeTaper Platinum™、EdgeSequel Sapphire™を使用して二重湾曲根管の形状を残したまま、根管形成を行った例。
エッジグライドパスを使用

Edge GlidePath™

エッジテーパープラチナムを使用

EdgeTaper Platinum™ in MB

XPエンドシェイパーとエッジシークエルサファイアを使用

XP-Endo Shaper(白水貿易)+EdgeSequel Sapphire™ in MB1 & MB2

エッジシークエルサファイアを使用

#35/.04 EdgeSequel Sapphire™

寺内 吉継 先生

寺内 吉継 先生

東京医科歯科大学歯髄生物学研究室博士課程修了
デンタルアーツアカデミー主任講師

神奈川県開業。最先端の歯科関連技術・知識の吸収を目的としたセミナー「デンタルアーツアカデミー」の 主任講師として、日本に留まらず世界各国で講演を行うなど、幅広い活動を行う。

EdgeSequel Sapphire™を使用した臨床例

Case1 湾曲根管

  • CC「左下奥違和感」主訴に来院
  • 左下⑤6⑦Br除去→左下7 2次カリエス認める
  • 湾曲大きく穿通せず…ハンドファイルで治療回数5回

    EdgeSequel Sapphire™#15/.06テーパーにてグライドパス形成

  • 作業長確認

    最終拡大#40/.04テーパー

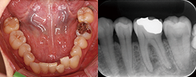
Case2 直線根管

  • CC「左下奥違和感」主訴に来院

    左下6遠心根に透過像認める

  • インレー除去

    透過像に一致した部位にサイナストラクト認める

  • コンポジットレジンにて隔壁作成

  • 作業長確認

    最終拡大#30/.04テーパー

安岡 大介 先生

ミライノデンタルクリニック 院長

安岡 大介 先生

profile

  • H24.4 神戸大学歯科口腔外科入局
  • H26.4 東大阪歯内療法専門医の元で勤務
  • H27.5より医療法人社団恒誠会 安岡歯科医院理事長として、もし家族を治療するなら…という心情をモットーに日々地域医療に取り組む
  • H31.4より医院名を安岡歯科医院から「ミライノデンタルクリニック」に変更し、移転開業
  • https://www.miraino-dental.com/
  • ●所属学会:日本歯科医師会(小野加東地区)/日本顎咬合学会/神戸CAREクラブ/神戸グリーンクラブ/筒井塾/咬合療法研究会(関西支部)/ヘルスケア歯科学会/ K-WAVE /日本顕微鏡歯科学会/神戸GP倶楽部/ ESC(ExistenceStudyClub)/大森塾2期・6期

安岡先生のYouTubeチャンネル

ますくど歯っするチャンネルエンド治療の情報も配信中!

エッジシークエル サファイア.04テーパーを使用した根管形成の作業フロー図※詳細は添付文書をご確認ください。

穿通

グライドパス形成~根管形成

根管形成完了

  • ハンドファイル#10

    ハンド
    ファイル
    #10

作業長に到達させた時の抵抗感

  • Tight
    (きつい)

    細い
    根管

  • Medium
    (中くらい)

    中程度

    根管

  • Light
    (軽い)

    太い
    根管

作業長に

  • 到達する

  • 到達
    しない

    1つ下の
    サイズを
    用いて
    根管形成を
    行う
    ※到達するまで
    繰り返す。

穿通

グライドパス形成~根管形成

根管形成完了

  • ハンドファイル#10

    ハンドファイル#10

作業長に到達させた時の抵抗感

  • Tight
    (きつい)

    細い
    根管

  • Medium
    (中くらい)

    中程度の
    根管

  • Light
    (軽い)

    細い
    根管

作業長に

  • 到達する

  • 到達しない

    1つ下のサイズを
    用いて根管形成を
    行う
    ※到達するまで繰り返す。

商品を選ぶ商品の情報

商品を絞り込み

すべて解除

件/全
EdgeSequel Sapphire (エッジシークエル サファイア) .06テーパー

商品コード:1223601

EdgeSequel Sapphire (エッジシークエル サファイア) .06テーパー #15-30アソート/21mm

○オートクレーブ可
医療機器
詳細情報を表示する
●入数: 4本
●サイズ: 15-30アソート
●作業部長: 21mm
●セット内容: #15・#20・#25・#30×各1
●作業部長: 21mm
●販売名: ロータリーファイルEE

●薬事表示番号:医療機器認証番号230AKBZX00050000

ログイン後に価格が表示されます。

会員限定コンテンツのご利用は、
会員登録が必要です。
会員の方は、ログインしてご利用ください。

EdgeSequel Sapphire (エッジシークエル サファイア) .06テーパー

商品コード:1223749

EdgeSequel Sapphire (エッジシークエル サファイア) .06テーパー #15-30アソート/25mm

○オートクレーブ可
医療機器
詳細情報を表示する
●入数: 4本
●サイズ: 15-30アソート
●作業部長: 25mm
●セット内容: #15・#20・#25・#30×各1
●作業部長: 25mm
●販売名: ロータリーファイルEE

●薬事表示番号:医療機器認証番号230AKBZX00050000

ログイン後に価格が表示されます。

会員限定コンテンツのご利用は、
会員登録が必要です。
会員の方は、ログインしてご利用ください。

EdgeSequel Sapphire (エッジシークエル サファイア) .06テーパー

商品コード:1223910

EdgeSequel Sapphire (エッジシークエル サファイア) .06テーパー #35-50アソート/21mm

○オートクレーブ可
医療機器
詳細情報を表示する
●入数: 4本
●サイズ: 35-50アソート
●作業部長: 21mm
●セット内容: #35・#40・#45・#50×各1
●作業部長: 21mm
●販売名: ロータリーファイルEE

●薬事表示番号:医療機器認証番号230AKBZX00050000

ログイン後に価格が表示されます。

会員限定コンテンツのご利用は、
会員登録が必要です。
会員の方は、ログインしてご利用ください。

EdgeSequel Sapphire (エッジシークエル サファイア) .06テーパー

商品コード:1224079

EdgeSequel Sapphire (エッジシークエル サファイア) .06テーパー #35-50アソート/25mm

○オートクレーブ可
医療機器
詳細情報を表示する
●入数: 4本
●サイズ: 35-50アソート
●作業部長: 25mm
●セット内容: #35・#40・#45・#50×各1
●作業部長: 25mm
●販売名: ロータリーファイルEE

●薬事表示番号:医療機器認証番号230AKBZX00050000

ログイン後に価格が表示されます。

会員限定コンテンツのご利用は、
会員登録が必要です。
会員の方は、ログインしてご利用ください。

EdgeSequel Sapphire (エッジシークエル サファイア) .06テーパー

商品コード:1224401

EdgeSequel Sapphire (エッジシークエル サファイア) .06テーパー #15/21mm

○オートクレーブ可
医療機器
詳細情報を表示する
●入数: 4本
●サイズ: 15
●作業部長: 21mm
●作業部長: 21mm
●販売名: ロータリーファイルEE

●薬事表示番号:医療機器認証番号230AKBZX00050000

ログイン後に価格が表示されます。

会員限定コンテンツのご利用は、
会員登録が必要です。
会員の方は、ログインしてご利用ください。

EdgeSequel Sapphire (エッジシークエル サファイア) .06テーパー

商品コード:1224574

EdgeSequel Sapphire (エッジシークエル サファイア) .06テーパー #15/25mm

○オートクレーブ可
医療機器
詳細情報を表示する
●入数: 4本
●サイズ: 15
●作業部長: 25mm
●作業部長: 25mm
●販売名: ロータリーファイルEE

●薬事表示番号:医療機器認証番号230AKBZX00050000

ログイン後に価格が表示されます。

会員限定コンテンツのご利用は、
会員登録が必要です。
会員の方は、ログインしてご利用ください。

EdgeSequel Sapphire (エッジシークエル サファイア) .06テーパー

商品コード:1224826

EdgeSequel Sapphire (エッジシークエル サファイア) .06テーパー #15/31mm

○オートクレーブ可
医療機器
詳細情報を表示する
●入数: 4本
●サイズ: 15
●作業部長: 31mm
●作業部長: 31mm
●販売名: ロータリーファイルEE

●薬事表示番号:医療機器認証番号230AKBZX00050000

ログイン後に価格が表示されます。

会員限定コンテンツのご利用は、
会員登録が必要です。
会員の方は、ログインしてご利用ください。

EdgeSequel Sapphire (エッジシークエル サファイア) .06テーパー

商品コード:1225025

EdgeSequel Sapphire (エッジシークエル サファイア) .06テーパー #20/21mm

○オートクレーブ可
医療機器
詳細情報を表示する
●入数: 4本
●サイズ: 20
●作業部長: 21mm
●作業部長: 21mm
●販売名: ロータリーファイルEE

●薬事表示番号:医療機器認証番号230AKBZX00050000

ログイン後に価格が表示されます。

会員限定コンテンツのご利用は、
会員登録が必要です。
会員の方は、ログインしてご利用ください。

EdgeSequel Sapphire (エッジシークエル サファイア) .06テーパー

商品コード:1225387

EdgeSequel Sapphire (エッジシークエル サファイア) .06テーパー #20/25mm

○オートクレーブ可
医療機器
詳細情報を表示する
●入数: 4本
●サイズ: 20
●作業部長: 25mm
●作業部長: 25mm
●販売名: ロータリーファイルEE

●薬事表示番号:医療機器認証番号230AKBZX00050000

ログイン後に価格が表示されます。

会員限定コンテンツのご利用は、
会員登録が必要です。
会員の方は、ログインしてご利用ください。

EdgeSequel Sapphire (エッジシークエル サファイア) .06テーパー

商品コード:1225943

EdgeSequel Sapphire (エッジシークエル サファイア) .06テーパー #20/31mm

○オートクレーブ可
医療機器
詳細情報を表示する
●入数: 4本
●サイズ: 20
●作業部長: 31mm
●作業部長: 31mm
●販売名: ロータリーファイルEE

●薬事表示番号:医療機器認証番号230AKBZX00050000

ログイン後に価格が表示されます。

会員限定コンテンツのご利用は、
会員登録が必要です。
会員の方は、ログインしてご利用ください。

EdgeSequel Sapphire (エッジシークエル サファイア) .06テーパー

商品コード:1226089

EdgeSequel Sapphire (エッジシークエル サファイア) .06テーパー #25/21mm

○オートクレーブ可
医療機器
詳細情報を表示する
●入数: 4本
●サイズ: 25
●作業部長: 21mm
●作業部長: 21mm
●販売名: ロータリーファイルEE

●薬事表示番号:医療機器認証番号230AKBZX00050000

ログイン後に価格が表示されます。

会員限定コンテンツのご利用は、
会員登録が必要です。
会員の方は、ログインしてご利用ください。

EdgeSequel Sapphire (エッジシークエル サファイア) .06テーパー

商品コード:1226233

EdgeSequel Sapphire (エッジシークエル サファイア) .06テーパー #25/25mm

○オートクレーブ可
医療機器
詳細情報を表示する
●入数: 4本
●サイズ: 25
●作業部長: 25mm
●作業部長: 25mm
●販売名: ロータリーファイルEE

●薬事表示番号:医療機器認証番号230AKBZX00050000

ログイン後に価格が表示されます。

会員限定コンテンツのご利用は、
会員登録が必要です。
会員の方は、ログインしてご利用ください。

EdgeSequel Sapphire (エッジシークエル サファイア) .06テーパー

商品コード:1226495

EdgeSequel Sapphire (エッジシークエル サファイア) .06テーパー #25/31mm

○オートクレーブ可
医療機器
詳細情報を表示する
●入数: 4本
●サイズ: 25
●作業部長: 31mm
●作業部長: 31mm
●販売名: ロータリーファイルEE

●薬事表示番号:医療機器認証番号230AKBZX00050000

ログイン後に価格が表示されます。

会員限定コンテンツのご利用は、
会員登録が必要です。
会員の方は、ログインしてご利用ください。

EdgeSequel Sapphire (エッジシークエル サファイア) .06テーパー

商品コード:1226825

EdgeSequel Sapphire (エッジシークエル サファイア) .06テーパー #30/21mm

○オートクレーブ可
医療機器
詳細情報を表示する
●入数: 4本
●サイズ: 30
●作業部長: 21mm
●作業部長: 21mm
●販売名: ロータリーファイルEE

●薬事表示番号:医療機器認証番号230AKBZX00050000

ログイン後に価格が表示されます。

会員限定コンテンツのご利用は、
会員登録が必要です。
会員の方は、ログインしてご利用ください。

EdgeSequel Sapphire (エッジシークエル サファイア) .06テーパー

商品コード:1226900

EdgeSequel Sapphire (エッジシークエル サファイア) .06テーパー #30/25mm

○オートクレーブ可
医療機器
詳細情報を表示する
●入数: 4本
●サイズ: 30
●作業部長: 25mm
●作業部長: 25mm
●販売名: ロータリーファイルEE

●薬事表示番号:医療機器認証番号230AKBZX00050000

ログイン後に価格が表示されます。

会員限定コンテンツのご利用は、
会員登録が必要です。
会員の方は、ログインしてご利用ください。

EdgeSequel Sapphire (エッジシークエル サファイア) .06テーパー

商品コード:1227008

EdgeSequel Sapphire (エッジシークエル サファイア) .06テーパー #30/31mm

在庫一掃
○オートクレーブ可
医療機器
詳細情報を表示する
●入数: 4本
●サイズ: 30
●作業部長: 31mm
●作業部長: 31mm
●販売名: ロータリーファイルEE

●薬事表示番号:医療機器認証番号230AKBZX00050000

ログイン後に価格が表示されます。

会員限定コンテンツのご利用は、
会員登録が必要です。
会員の方は、ログインしてご利用ください。

EdgeSequel Sapphire (エッジシークエル サファイア) .06テーパー

商品コード:1227112

EdgeSequel Sapphire (エッジシークエル サファイア) .06テーパー #35/21mm

○オートクレーブ可
医療機器
詳細情報を表示する
●入数: 4本
●サイズ: 35
●作業部長: 21mm
●作業部長: 21mm
●販売名: ロータリーファイルEE

●薬事表示番号:医療機器認証番号230AKBZX00050000

ログイン後に価格が表示されます。

会員限定コンテンツのご利用は、
会員登録が必要です。
会員の方は、ログインしてご利用ください。

EdgeSequel Sapphire (エッジシークエル サファイア) .06テーパー

商品コード:1227506

EdgeSequel Sapphire (エッジシークエル サファイア) .06テーパー #35/25mm

○オートクレーブ可
医療機器
詳細情報を表示する
●入数: 4本
●サイズ: 35
●作業部長: 25mm
●作業部長: 25mm
●販売名: ロータリーファイルEE

●薬事表示番号:医療機器認証番号230AKBZX00050000

ログイン後に価格が表示されます。

会員限定コンテンツのご利用は、
会員登録が必要です。
会員の方は、ログインしてご利用ください。

EdgeSequel Sapphire (エッジシークエル サファイア) .06テーパー

商品コード:1227740

EdgeSequel Sapphire (エッジシークエル サファイア) .06テーパー #35/31mm

○オートクレーブ可
医療機器
詳細情報を表示する
●入数: 4本
●サイズ: 35
●作業部長: 31mm
●作業部長: 31mm
●販売名: ロータリーファイルEE

●薬事表示番号:医療機器認証番号230AKBZX00050000

ログイン後に価格が表示されます。

会員限定コンテンツのご利用は、
会員登録が必要です。
会員の方は、ログインしてご利用ください。

EdgeSequel Sapphire (エッジシークエル サファイア) .06テーパー

商品コード:1227855

EdgeSequel Sapphire (エッジシークエル サファイア) .06テーパー #40/21mm

○オートクレーブ可
医療機器
詳細情報を表示する
●入数: 4本
●サイズ: 40
●作業部長: 21mm
●作業部長: 21mm
●販売名: ロータリーファイルEE

●薬事表示番号:医療機器認証番号230AKBZX00050000

ログイン後に価格が表示されます。

会員限定コンテンツのご利用は、
会員登録が必要です。
会員の方は、ログインしてご利用ください。

EdgeSequel Sapphire (エッジシークエル サファイア) .06テーパー

商品コード:1227933

EdgeSequel Sapphire (エッジシークエル サファイア) .06テーパー #40/25mm

○オートクレーブ可
医療機器
詳細情報を表示する
●入数: 4本
●サイズ: 40
●作業部長: 25mm
●作業部長: 25mm
●販売名: ロータリーファイルEE

●薬事表示番号:医療機器認証番号230AKBZX00050000

ログイン後に価格が表示されます。

会員限定コンテンツのご利用は、
会員登録が必要です。
会員の方は、ログインしてご利用ください。

EdgeSequel Sapphire (エッジシークエル サファイア) .06テーパー

商品コード:1228125

EdgeSequel Sapphire (エッジシークエル サファイア) .06テーパー #40/31mm

在庫一掃
○オートクレーブ可
医療機器
詳細情報を表示する
●入数: 4本
●サイズ: 40
●作業部長: 31mm
●作業部長: 31mm
●販売名: ロータリーファイルEE

●薬事表示番号:医療機器認証番号230AKBZX00050000

ログイン後に価格が表示されます。

会員限定コンテンツのご利用は、
会員登録が必要です。
会員の方は、ログインしてご利用ください。

EdgeSequel Sapphire (エッジシークエル サファイア) .06テーパー

商品コード:1228278

EdgeSequel Sapphire (エッジシークエル サファイア) .06テーパー #45/21mm

○オートクレーブ可
医療機器
詳細情報を表示する
●入数: 4本
●サイズ: 45
●作業部長: 21mm
●作業部長: 21mm
●販売名: ロータリーファイルEE

●薬事表示番号:医療機器認証番号230AKBZX00050000

ログイン後に価格が表示されます。

会員限定コンテンツのご利用は、
会員登録が必要です。
会員の方は、ログインしてご利用ください。

EdgeSequel Sapphire (エッジシークエル サファイア) .06テーパー

商品コード:1228455

EdgeSequel Sapphire (エッジシークエル サファイア) .06テーパー #45/25mm

○オートクレーブ可
医療機器
詳細情報を表示する
●入数: 4本
●サイズ: 45
●作業部長: 25mm
●作業部長: 25mm
●販売名: ロータリーファイルEE

●薬事表示番号:医療機器認証番号230AKBZX00050000

ログイン後に価格が表示されます。

会員限定コンテンツのご利用は、
会員登録が必要です。
会員の方は、ログインしてご利用ください。

EdgeSequel Sapphire (エッジシークエル サファイア) .06テーパー

商品コード:1228732

EdgeSequel Sapphire (エッジシークエル サファイア) .06テーパー #45/31mm

○オートクレーブ可
医療機器
詳細情報を表示する
●入数: 4本
●サイズ: 45
●作業部長: 31mm
●作業部長: 31mm
●販売名: ロータリーファイルEE

●薬事表示番号:医療機器認証番号230AKBZX00050000

ログイン後に価格が表示されます。

会員限定コンテンツのご利用は、
会員登録が必要です。
会員の方は、ログインしてご利用ください。

EdgeSequel Sapphire (エッジシークエル サファイア) .06テーパー

商品コード:1228971

EdgeSequel Sapphire (エッジシークエル サファイア) .06テーパー #50/21mm

○オートクレーブ可
医療機器
詳細情報を表示する
●入数: 4本
●サイズ: 50
●作業部長: 21mm
●作業部長: 21mm
●販売名: ロータリーファイルEE

●薬事表示番号:医療機器認証番号230AKBZX00050000

ログイン後に価格が表示されます。

会員限定コンテンツのご利用は、
会員登録が必要です。
会員の方は、ログインしてご利用ください。

EdgeSequel Sapphire (エッジシークエル サファイア) .06テーパー

商品コード:1229266

EdgeSequel Sapphire (エッジシークエル サファイア) .06テーパー #50/25mm

○オートクレーブ可
医療機器
詳細情報を表示する
●入数: 4本
●サイズ: 50
●作業部長: 25mm
●作業部長: 25mm
●販売名: ロータリーファイルEE

●薬事表示番号:医療機器認証番号230AKBZX00050000

ログイン後に価格が表示されます。

会員限定コンテンツのご利用は、
会員登録が必要です。
会員の方は、ログインしてご利用ください。

EdgeSequel Sapphire (エッジシークエル サファイア) .06テーパー

商品コード:1229577

EdgeSequel Sapphire (エッジシークエル サファイア) .06テーパー #50/31mm

在庫一掃
○オートクレーブ可
医療機器
詳細情報を表示する
●入数: 4本
●サイズ: 50
●作業部長: 31mm
●作業部長: 31mm
●販売名: ロータリーファイルEE

●薬事表示番号:医療機器認証番号230AKBZX00050000

ログイン後に価格が表示されます。

会員限定コンテンツのご利用は、
会員登録が必要です。
会員の方は、ログインしてご利用ください。

関連商品

EdgeSequel Sapphire (エッジシークエル サファイア) .04テーパー

ログイン後に価格が表示されます。

会員限定コンテンツのご利用は、
会員登録が必要です。
会員の方は、ログインしてご利用ください。

EdgeOne Fire (エッジワンファイア)

ログイン後に価格が表示されます。

会員限定コンテンツのご利用は、
会員登録が必要です。
会員の方は、ログインしてご利用ください。

EdgeTaper Platinum (エッジテーパー プラチナム)

ログイン後に価格が表示されます。

会員限定コンテンツのご利用は、
会員登録が必要です。
会員の方は、ログインしてご利用ください。

EdgeFile XR (エッジファイル XR)

ログイン後に価格が表示されます。

会員限定コンテンツのご利用は、
会員登録が必要です。
会員の方は、ログインしてご利用ください。

EdgeOne GlidePath (エッジワン グライドパス)

ログイン後に価格が表示されます。

会員限定コンテンツのご利用は、
会員登録が必要です。
会員の方は、ログインしてご利用ください。

Edge GlidePath (エッジグライドパス)

ログイン後に価格が表示されます。

会員限定コンテンツのご利用は、
会員登録が必要です。
会員の方は、ログインしてご利用ください。

ラバーダムクランプ

¥ 2,145~ (税込)

ほかの方が一緒に閲覧された商品

カスタマーレビュー
購入履歴よりレビューを投稿する

ログインするとコメントを確認することができます。

あなたへのおすすめ商品

閲覧履歴

商品を選ぶ